Уникальный единственный коммерчески доступный оптический когерентный томограф (ОКТ) переднего и заднего отрезков глаза на основе технологии SWEPT source
Новое измерение в ОКТ
- Улучшенная визуализация глубоких слоев заднего отрезка, включающих хороидею и склеру за счет инфракрасного источника света 1050 нм, в том числе в случае помутнений в оптических средах
- Скорость сканирования 100 000 А-сканов/сек. обеспечивает сокращение процедуры сканирования, в том числе ОКТ- ангиографии
- Мультимодальная диагностика в одном приборе: совмещение фундус-камеры с ОКТ (модель DRI Triton), а также с ФАГ и автофлуоресценции (модель DRI Triton plus)
- Модуль ОКТ-ангиографии
- Уникальные отчеты по раннему прогнозу глаукомы
SWEPT source и длина волны сканирования 1050 нм
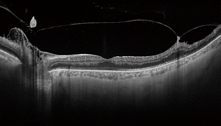
Уникальное сочетание нового механизма получения ОКТ-снимков SWEPT Source и сканирующего луча в инфракрасном диапазоне (1050 нм) позволяет получить качественный ОКТ снимок структур заднего отрезка глаза: стекловидного тела, сетчатки, хороидеи и склеры – на одном скане. Эта особенность сокращает время исследования за счет отказа от получения дополнительных снимков для получения снимков высокой четкости.
Большая проникающая способность инфракрасного излучения позволяет получить снимки даже в случае наличия помутнений в прозрачных средах глаза (катаракта, кровоизлияния и т.д.).
Мультимодальная диагностика
Помимо ОКТ и ОКТ-ангиографии прибор позволяет получить снимки глазного дна с помощью встроенной немидриатической фундус-камеры. Модель DRI TRITON plus оснащена также модулями флуоресцентной ангиографии (AF) и автофлуоресценции (FAF).
Уникальная система навигации позволяет определять локализацию каждого В-скана ОКТ на фундус-изображении и наоборот.
Уникальные отчеты
Прибор позволяет получать ультраширокие сканы 12 × 9 мм и 12 × 12 мм, позволяющие оценить состояние диска зрительного нерва и макулы за одно исследование.
Уникальный отчет доктора Худа (Hood report) позволяет оценить вероятность развития глаукомы.
Технические характеристики томографа DRI OCT-Triton/plus:
|
Глубина сканирования |
2,5 мм |
|
Диаметр луча |
22 мкм |
|
Длина волны луча |
1050 нм |
|
Длина скана на роговице |
до 9 мм |
|
Продольное оптическое разрешение |
3 мкм |
|
Скорость получения изображения |
100 000 А-сканов/сек |
|
Угол SLO-изображения |
40° |
|
Мощность излучения |
850 мкВт |
|
Рабочее расстояние |
34,8 мм |
|
Минимальный размер зрачка |
2,5 мм |
- Улучшенная визуализация глубоких слоев заднего отрезка, включающих хороидею и склеру за счет инфракрасного источника света 1050 нм, в том числе в случае помутнений в оптических средах
- Мультимодальная диагностика в одном приборе: совмещение фундус-камеры с ОКТ (модель DRI Triton), а также с ФАГ и автофлуоресценции (модель DRI Triton plus)
- Скорость сканирования 100 000 А-сканов/сек.
- Модуль ОКТ-ангиографии
Офтальмологический трехмерный оптический когерентный томограф DRI OCT-Triton/plus позволяет получить полное обследование переднего и заднего отрезков глаза.
